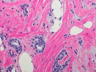
Potrebbe essere a una svolta la lotta contro i tumori causati da una mutazione ereditaria del gene BRCA1, come quelli del seno e dell'ovaio.
I ricercatori dell'Università del Texas a San Antonio hanno scoperto un nuovo modo per fermare i tumori provocati da questa mutazione ereditaria,...


