Coronavirus, ricercatori dello Spallanzani mostrano i danni ai polmoni dei primi due malati in Italia

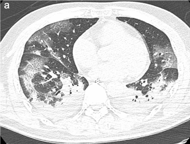
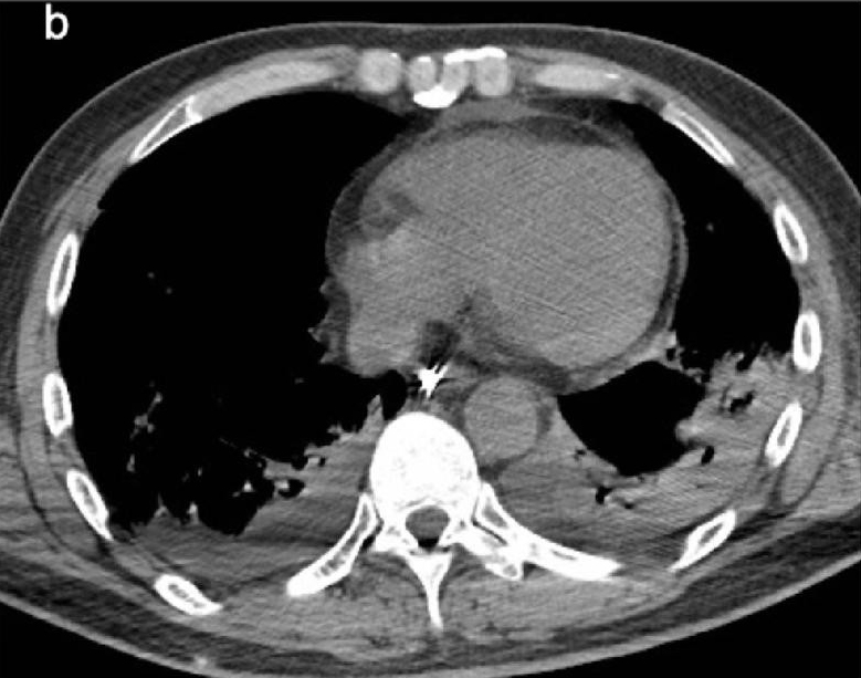
Sono immagini scioccanti quelle diffuse dai ricercatori dell'Istituto Nazionale per le Malattie Infettive Lazzaro Spallanzani di Roma in uno studio in via di pubblicazione sull'International Journal of Infectious Diseases. Sono le radiografie e le immagini della TAC dei polmoni appartenenti alle prime due persone risultate infette in Italia, due turisti cinesi in vacanza, e che dimostrano quanto può essere devastante il nuovo coronavirus.
I due pazienti, un uomo di 67 anni e una donna di 66, erano in forma e in salute. Seguivano solo una terapia orale per tenere a bada l'ipertensione. Dopo aver riscontrato problemi respiratori e febbre, la coppia è stata sottoposta a test di laboratorio che hanno confermato l'infezione con il virus SARS-CoV-2. Entrambi i pazienti hanno continuato ad aggravarsi fino a sviluppare la Sindrome da Distress Respiratorio Acuto (ARDS - Acute Respiratory Distress Syndrome).
Ci sono voluti solo quattro giorni per arrivare all'insufficienza respiratoria e due giorni dopo entrambi i pazienti respiravano solo grazie a un ventilatore. Le prime radiografie effettuate sui pazienti mostrano “opacità del vetro smerigliato”.
Lo studio ha anche scoperto che i vasi sanguigni che trasportano il sangue dal cuore ai polmoni per ossigenarsi si stavano allargando. Questa condizione, nota come ipertrofia, riduce lo spazio per l'aria, causando difficoltà respiratorie. È probabile che questo segno sia correlato all'iperemia - eccesso di sangue nei vasi polmonari - causato dall'infezione virale.
«I modelli polmonari in entrambi i pazienti sono caratterizzati da ipertrofia dei vasi polmonari, che sono aumentati di dimensioni, in particolare nelle aree con danno interstiziale più pronunciato», spiegano i ricercatori.
C'è da dire, per completezza, che sono oggi pochi i malati di coronavirus che arrivano a questo stato di cose. Attualmente, infatti, nel nostro Paese si trovano in terapia intensiva il 6,6% dei malati, e molti guariscono, proprio come è successo ai due cittadini cinesi.
Dunque anche uno stato così avanzato di danneggiamento dell'attività polmonare in presenza di ventilatori e letti per la terapia intensiva può essere reversibile.
(AGI/Valentina Arcovio)
Per saperne di più sul Covid-19
www.salute.gov.it/portale/malattieInfettive/dettaglioFaqMalattieInfettive
Potete leggere anche i seguenti articoli
www.ilpapaverorossoweb.it/article/covid-19-il-virus-sarebbe-arrivato-italia-da-germania-e-cina
www.ilpapaverorossoweb.it/article/il-coronavirus-non-è-nato-laboratorio-la-sua-origine-è-naturale
www.ilpapaverorossoweb.it/article/coronavirus-studio-persone-con-gruppo-sanguigno-più-vulnerabili
www.ilpapaverorossoweb.it/article/coronavirus-aumentano-i-casi-di-intossicazione-da-disinfettanti
clicca e scopri come sostenerci








