Scoperte le basi molecolari della tossicità di una proteina che causa amiloidosi

Uno studio pubblicato su Nature Communications chiarisce le basi molecolari di una grave e incurabile malattia genetica individuata nel 2012 e causata da amiloidosi. Quest’ultimo è un fenomeno patologico che determina la perdita di struttura in una data proteina, con la formazione di fibre allungate e robuste (fibrille amiloidi), che si depositano nell’organismo con effetti nocivi per gli organi interessati e per la salute generale.
Lo studio è stato coordinato da Stefano Ricagno e Carlo Camilloni del Dipartimento di Bioscienze dell’Università Statale di Milano, nell’ambito di una collaborazione internazionale con il CNRS (Centre National de la Recherche Scientifique) e la Scuola Normale di Lione, l’University College London (UCL), l’Università di Cambridge e lo European Synchrotron Radiation Facility (ESRF) di Grenoble.
Le caratteristiche biochimiche causa dell’elevata tendenza all’aggregazione tossica erano ancora ignote. Il team scientifico si è concentrato sull’individuazione delle caratteristiche biochimiche e biofisiche peculiari del mutante tossico rispetto alla proteina presente in persone sane. Le due varianti proteiche sono state studiate usando cristallografia a raggi X, risonanza magnetico nucleare e simulazioni di dinamica molecolare. La ricerca dimostra che la mutazione rende la struttura della proteina meno stabile e soprattutto più dinamica facendo sì che le molecole perdano facilmente la propria struttura (sana) e formino delle fibrille amiloidi tossiche per l’organismo del paziente.
Numerose malattie sono riconducibili alla formazione di depositi amiloidi, come la malattia d’Alzheimer o quella di Parkinson. Tutte le malattie dipendenti da amiloidosi (circa trenta descritte ad oggi), pur avendo cause e sintomi differenti, hanno in comune il meccanismo con il quale una proteina (diversa per ciascuna malattia) perde forma e funzione fisiologiche, e si deposita in ammassi fibrosi‐amiloidi in diverse sedi dell’organismo. Queste malattie hanno un decorso progressivo, e molte di esse provocano gravi disturbi e la morte dei pazienti. Non esiste una terapia risolutiva per alcuna di queste malattie.
«Questo è un risultato molto importante. Dopo aver partecipato all’équipe che scoprì la malattia sei anni fa, abbiamo voluto cercare di capire a fondo le basi molecolari della patologia. Dal punto di vista tecnico abbiamo messo a punto un approccio sperimentale multidisciplinare che ha dato ottimi risultati e che potrà essere utilizzato per studiare altre proteine tossiche. Uno degli ostacoli maggiori alla creazione di una cura per questa malattia, come del resto per le altre malattie da amiloidosi, è la scarsa comprensione dei meccanismi di tossicità. Noi con questo lavoro abbiamo fatto un grosso passo avanti», ha spiegato Stefano Ricagno.
Immagine copertina
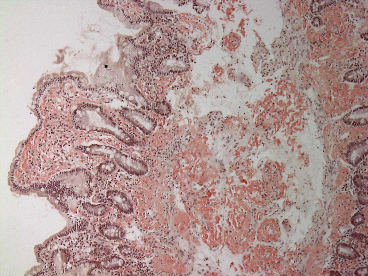
Deposito di amiloide nel duodeno, colorato con il rosso Congo.
Foto di Michael Feldman, MD, PhD University of Pennsylvania School of Medicine.
Immagine articolo
Caratterizzazione strutturale e biofisica della proteina beta-2 microglobulina mutata in posizione 76.
clicca e scopri come sostenerci








