Articolo
Le temperature salgono e i prossimi giorni si preannunciano roventi, ma la voglia di esporsi al sole e di fare sport all'aperto è irrefrenabile e rischia di far sottovalutare il rischio di incorrere in un colpo di calore. Per godersi l'estate in sicurezza, invece, bisogna fare attenzione, seguendo alcune regole precise. E il discorso vale sia per... Continua
Articolo
È un consumo di suolo ad oltranza quello che in Italia continua ad aumentare anche nel 2017, nonostante la crisi economica. Tra nuove infrastrutture e cantieri (che da soli coprono più di tremila ettari), si invadono aree protette e a pericolosità idrogeologica sconfinando anche all’interno di aree vincolate per la tutela del paesaggio - coste,... Continua
Articolo
Sette nuove aree costiere italiane a rischio inondazione per l’innalzamento del Mar Mediterraneo sia a causa dei cambiamenti climatici che delle caratteristiche geologiche della nostra penisola. È quanto stima l’ENEA attraverso nuove misure che indicano una “perdita” di decine di chilometri quadrati di territorio entro fine secolo.... Continua
Articolo
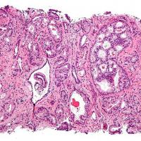
La terapia “chemio-free”, con l'aggiunta della molecola abiraterone al trattamento ormonale standard, si conferma efficace nel mantenere stabile la malattia, e quindi allungare la sopravvivenza dei pazienti con tumore alla prostata metastatico alla diagnosi e ad alto rischio, con più del 50% dei pazienti ancora in vita a quarantuno mesi di follow-... Continua
Articolo
L'aumento delle temperature dovuto al riscaldamento globale potrebbe essere il doppio di quanto previsto dai modelli climatici attuali, e il livello del mare potrebbe aumentare di 6 metri e più anche se il mondo riuscisse a contenere il riscaldamento entro i 2 gradi dai livelli pre-industriali (l'obiettivo dell'accordo di Parigi sul clima).
Lo... Continua
Articolo
Una storia su Instagram, una carrellata di foto su Facebook. Documentare continuamente la nostra vita per immagini dovrebbe aiutarci a “fermare” meglio il ricordo di un avvenimento per noi degno di nota, ma in realtà non è così.
Scattando foto in realtà si compromette la memoria, il ricordo di un evento. Lo rileva una ricerca della University of... Continua
Articolo
Via libera della Regione Siciliana all’implementazione della cura dei tumori attraverso la protonterapia. Un coordinamento di esperti, guidato dal fisico Giacomo Cuttone, dirigente di ricerca dell’Istituto Nazionale di Fisica Nucleare, è stato istituito tramite l’apprezzamento di una delibera dalla giunta di governo, su proposta dall’assessore... Continua
Articolo
Contro gli acufeni, i rumori e fischi “fantasma” sentiti da circa tre milioni di italiani, in un caso su due la terapia cognitiva dimezza il fastidio. A sostenerlo con “dati dal mondo reale”, ovvero non provenienti da trial, ma raccolti attraverso cartelle cliniche, è una nuova analisi pubblicata sulla rivista scientifica Ear and Hearing.
Gli... Continua
Articolo
L'Agenzia Italiana del Farmaco (AIFA) ha pubblicato sul suo portale istituzionale il Rapporto Vaccini 2017, che descrive tutte le sospette reazioni avverse inserite nel 2017 nella Rete Nazionale di Farmacovigilanza (RNF), comprese quelle insorte negli anni precedenti.
«Con la pubblicazione del Rapporto 2017 l’AIFA prosegue nell'operazione di... Continua
Articolo
Il tempo stringe per le foreste del mondo, la cui superficie totale diminuisce di giorno in giorno, avverte un nuovo rapporto della FAO, Lo Stato delle Foreste nel Mondo 2018, che esorta i governi a promuovere un approccio onnicomprensivo a beneficio sia degli alberi sia di coloro che vi fanno affidamento.
Occorre arrestare la deforestazione,... Continua
Tipo
Categoria
- Salute (1245) Apply Salute filter
- Ambiente (798) Apply Ambiente filter
- Sociale (612) Apply Sociale filter
- Cultura (245) Apply Cultura filter
- A Tavola (101) Apply A Tavola filter
- Curiosità (84) Apply Curiosità filter
- Focus su A.D.A.S. (21) Apply Focus su A.D.A.S. filter
- Storie di Sicilia (10) Apply Storie di Sicilia filter
autore
- redazione (2668) Apply redazione filter
- Federica Campilongo (75) Apply Federica Campilongo filter
- Andrea Cuscona (72) Apply Andrea Cuscona filter
- Marisa Falcone (58) Apply Marisa Falcone filter
- Federico Bizzini (48) Apply Federico Bizzini filter
- Santo Gulisano (33) Apply Santo Gulisano filter
- Jose Marano (32) Apply Jose Marano filter
- Chezia Alberti (26) Apply Chezia Alberti filter
- Santi Maria Randazzo (26) Apply Santi Maria Randazzo filter
- Guido Bissanti (21) Apply Guido Bissanti filter
- Benedetto Rizzo (15) Apply Benedetto Rizzo filter
- Francesca Santangelo (15) Apply Francesca Santangelo filter
- Riccardo Anastasi (15) Apply Riccardo Anastasi filter
- Sabrina Portale (15) Apply Sabrina Portale filter
- Silvana Militello (15) Apply Silvana Militello filter
- Antonio Percolla (12) Apply Antonio Percolla filter
- Sarah Donzuso (12) Apply Sarah Donzuso filter
- Tiziano Fusella (12) Apply Tiziano Fusella filter
- Anna Arietti (11) Apply Anna Arietti filter
- Julia Karpova (9) Apply Julia Karpova filter
- Mario Guarnera (8) Apply Mario Guarnera filter
- Luca Talamona (7) Apply Luca Talamona filter
- Dino Artale (6) Apply Dino Artale filter
- Raffaella Sacco (6) Apply Raffaella Sacco filter
- Valerio Gullotta (6) Apply Valerio Gullotta filter
- Andrea Maglia (5) Apply Andrea Maglia filter
- Angela Longo (5) Apply Angela Longo filter
- Barbara Corbellini (5) Apply Barbara Corbellini filter
- Maria Rita Ursino (5) Apply Maria Rita Ursino filter
- Paolo Reitano (5) Apply Paolo Reitano filter
- Ramona Tafuri (5) Apply Ramona Tafuri filter
- Antonio Andolfi (4) Apply Antonio Andolfi filter
- Caterina Lenti (4) Apply Caterina Lenti filter
- Cetty Moscatt (4) Apply Cetty Moscatt filter
- Davide Di Paola (4) Apply Davide Di Paola filter
- Enzo Faraone (4) Apply Enzo Faraone filter
- Francesca Romana Golino (4) Apply Francesca Romana Golino filter
- Giulia Leotta (4) Apply Giulia Leotta filter
- Michelle Recupero (4) Apply Michelle Recupero filter
- Adriana Alberghina (3) Apply Adriana Alberghina filter
- Agata Damante (3) Apply Agata Damante filter
- Alessia Costanzo (3) Apply Alessia Costanzo filter
- Angela Strano (3) Apply Angela Strano filter
- Giulia Faraone (3) Apply Giulia Faraone filter
- Serena Bonaccorsi (3) Apply Serena Bonaccorsi filter
- Steven Giuffrida (3) Apply Steven Giuffrida filter
- Epifanio Nicosia (2) Apply Epifanio Nicosia filter
- Gaetano Lo Monaco e Angela Longo (2) Apply Gaetano Lo Monaco e Angela Longo filter
- Luciana Palumbo (2) Apply Luciana Palumbo filter
- Rossella Valenti (2) Apply Rossella Valenti filter








